לפני ואחרי

עפעפיים

עפעפיים לפני


עפעפיים אחרי


עפעפיים עליונים

עפעפיים עליונים לפני


עפעפיים עליונים אחרי


עפעפיים עליונים

עפעפיים עליונים לפי


עפעפיים עליונים אחרי


עפעפיים

עפעפיים לפני


עפעפיים אחרי


עפעפיים עליון תחתון

עפעפיים עליון תחתון לפני


עפעפיים עליון תחתון אחרי


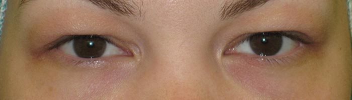
צניחת עפעף

צניחת עפעף לפני שמאל


צניחת עפעף שמאל אחרי


עפעפיים עליונים

צניחת עפעף שמאל לפני


צניחת עפעף שמאל אחרי


logo בניית אתרים